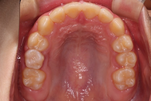
反対咬合・ガタガタの改善
治療前


治療後


| 主訴 | 前歯のかみ合わせが気になって来院 |
|---|---|
| 治療期間 | 2年9ヶ月 |
| 費用 | 440,000円(税込) |
| 治療内容 | 専用マウスピースの装着(日中1~2時間と就寝時) 筋機能療法(正しい呼吸、舌の位置、飲み込み方のトレーニング) |
| 治療の リスク |
|
受け口の改善
治療前


治療後


| 主訴 | 受け口が気になって来院 |
|---|---|
| 治療期間 | 3年4ヶ月 |
| 費用 | 440,000円(税込) |
| 治療内容 | 専用マウスピースの装着(日中1~2時間と就寝時) 筋機能療法(正しい呼吸、舌の位置、飲み込み方のトレーニング) |
| 治療の リスク |
|
出っ歯の改善
治療前


治療後


| 主訴 | 出っ歯と上の前歯が下の歯に重なることを気にして来院 |
|---|---|
| 治療期間 | 10ヶ月 |
| 費用 | 440,000円(税込) |
| 治療内容 | 専用マウスピースの装着(日中1~2時間と就寝時) 筋機能療法(正しい呼吸、舌の位置、飲み込み方のトレーニング) |
| 治療の リスク |
|
出っ歯と深い嚙み合わせの改善
治療前


治療後


| 主訴 | 前歯のすきっ歯・上の歯が下の歯に重なることが気になり来院 |
|---|---|
| 治療期間 | 1年7ヶ月 |
| 費用 | 440,000円(税込) |
| 治療内容 | 専用マウスピースの装着(日中1~2時間と就寝時) 筋機能療法(正しい呼吸、舌の位置、飲み込み方のトレーニング) |
| 治療の リスク |
|
















